“没想到母亲手术后能这么快速地康复回家,还能家人团聚过中秋节,真心感谢医务人员……”2024年9月16日上午11时许,3天前在我院肝胆胰外科接受了左半肝联合左尾叶切除手术的吴阿姨和家人已办理好出院手续,正开心地和医护人员合影告别。

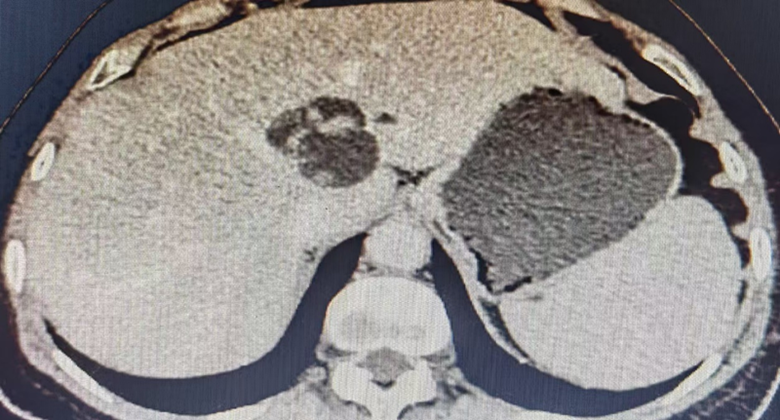
今年66岁的吴阿姨因“反复上腹胀痛半年”在我院诊断为左肝肿瘤性病变。病灶紧贴肝中静脉、肝左静脉、下腔静脉、门静脉矢状部等重要解构,手术难度大,风险高。为最大程度兼顾肿瘤根治性和患者安全,经充分术前准备后,肝胆胰外科团队联合手麻团队于9月13日上午顺利为吴阿姨行了“荧光腹腔镜解剖性左半肝联合左尾叶切除术+胆囊切除术”,用时3小时余完整切除计划区域,出血30ml,没有安置腹腔引流管。手术全程平稳顺利。在“少痛、早动、早食、安心”系列加速康复外科措施支持下,吴阿姨于手术后第3天顺利康复出院。


为什么吴阿姨在肝脏大手术后3天就能快速康复出院呢?主要有三方面原因:一是在吴泓教授、杨家印教授等多位上级医院专家教授的帮助指导下,肝胆胰外科自2016年开始推行以腹腔镜微创技术和精准解剖技术为基础的微创诊疗体系,截至目前科室微创手术率达到90%以上;二是肝胆胰外科医护团队积极推行加速康复外科理念,在患者住院期间全流程施行“少痛、早动、早食、安心”的系列加速康复外科措施;三是充分利用ICG荧光导航技术、三维重建技术、3D腹腔镜技术等先进技术助力手术质量和效率的提升。

乐山市人民医院肝胆胰外科将持续以精准外科、微创外科和加速康复外科三大理念为指导,持续推动学科高质量发展,持续提升专科诊疗技术水平和服务能力,努力为广大人民群众的健康保驾护航。

乐山市人民医院肝胆胰外科医护团队